Abacus Dental Care, 52 Lennon Drive, Milton Keynes, MK8 0AS
When it comes to maintaining oral health, a team of dental professionals with diverse…
Read MoreOrthodontic options for adults are similar to those for children and teenagers, but there…
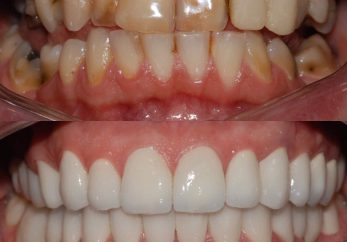
Read MoreTreatment Options for Smile Transformations When it comes to smile transformations, modern dentistry offers…
Read MoreEverything you should know about dental crowns Dental crowns are tooth-shaped caps that are…
Read MoreAchieving the perfect smile is now easier than ever with Invisalign, the clear alternative…
Read MoreA very professional team, no question is unanswered and always make you feel welcome. I'm very pleased with the work they did. Definitely my no.1 dentist."
Excellent service. Professional and friendly. The dentist was great, talked me through different stages of my treatment. Satisfied with my treatment."
"My filling fell out and I called Abacus on the off chance of a quick appointment. Becky, there was extremely helpful and I got everything resolved very quickly. Not only…
"Absolutely fantastic experience at this Dentist. Was so nervous, yet all staff were so very supportive and caring. Becky held my hand in the waiting room and throughout checks and…
"Normally they say little scratch, but this guy numbs the gum BEFORE he starts, I had three rotten roots out, 1 each side and front, I fell asleep while he…
"Came here after neglecting my teeth for a while. All the staff are friendly and make the experience easy. Spoke through the process of what needed to be done I…
I have been with this fantastic dentist for 13 years and cannot fault the professionalism and friendliness and great attitude."
Great service, lovely welcome and advice. Good dental and finance plans. Would highly recommend."
I got a cleaning done with Claire the hygienist. She was very professional and gave my teeth an excellent clean, felt great afterwards. Would highly recommend her."
I'd like to thank Abacus clinic for their professional work and patients approach."
Thank you Abacus, Very pleased and relieved with the treatment and the way it was completed well within time. Caring staff. Would definitely recommend."
"My son has just had his second lot of teeth pulled within days apart and I just want to say thank you to the lovely dentist for making sure my…
"A very family orientated dentist that made me feel welcome and at ease from the get-go. I have always felt very uneasy when it comes to getting my teeth checked…
"I would highly recommend this dentist, I am literally a dentist worst nightmare as I'm so scared of needles and dentists in general. Unfortunately, I had to have a root…
"I spoke with Manpreet during the lockdown, she was so helpful, friendly and compassionate, I can’t thank them enough, helped me lots through this difficult time. I will definitely be…
"Absolutely fantastic experience at this Dentist. Was so nervous, yet all staff were so very supportive and caring. Becky held my hand in the waiting room and throughout checks and…
"Absolutely brilliant! highly recommend this practice! having the same doctor for 20 years just because of an emergency had to book an appointment somewhere else, chosen Abacus Dental Care relying…
"My kids and I receive ‘5-star’ treatment at Abacus. Would highly recommend this dental practice. The dentists are great and offer a variety of dental treatments. Reception staff very welcoming.…
"Dr Verma is very knowledgable and provides a professional and caring dental service; he is always happy to explain procedures and options. I feel confident that I am being given…
"I was petrified of dentists but a tooth broke right in the front so had no choice but to get it fixed! The whole experience was brilliant and made to…
"The best dentist you can think of. Dr Verma and their entire staff are so kind. My family is taking treatment from them right from filling to tooth extraction and…
"Would recommend this dentist to anyone that is a nervous person, I’m a very nervous person when it comes to the dentist, but I was made to feel comfortable and…
"Rang this practice for advice regarding a large swelling on my gum, a lovely young lady called Becca answered the phone and was so very helpful. She said she would…
"I was working in the area and needed emergency treatment and a follow-up appointment. The receptionist was very helpful and everything was easy to set me up as a patient.…
"This dental practice has totally changed my opinion of going to the dentist. stunning workmanship, polite friendly staff, fair private pricing, made me feel at ease and confident to make…
"I was treated for a dental emergency by Dr Sukal Verma who fitted me between his extremely busy schedule. He was thoroughly professional and extremely caring. The staff at the…
"I’m always nervous when it comes to dentists. Every time I have attended Abacus for a routine check-up or when I’ve had to have treatment, my experience has been nothing…