ClickCease

Abacus Dental Care, 52 Lennon Drive, Milton Keynes, MK8 0AS

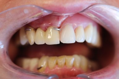
Before - Abacus Dental

Before

After - Abacus Dental

After

Maxillary partial denture

For more information regarding this treatment

01908 260 757 Or Contact Us
Back to Smile Gallery

Get in touch

Categories

Abacus Dental - Logo

52 Lennon Drive, Milton Keynes, MK8 0AS

Facebook Instragram Twitter
4.8
Google-review

Ask us a question