ClickCease

Abacus Dental Care, 52 Lennon Drive, Milton Keynes, MK8 0AS

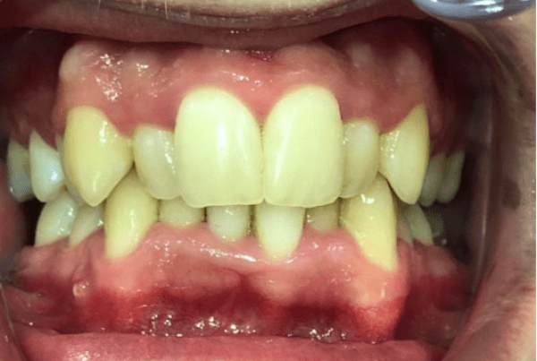
Invisalign

For more information regarding this treatment

01908 260 757 Or Contact Us
Back to Smile Gallery

Get in touch

Categories

judger icon1
Abacus Dental - Logo

52 Lennon Drive, Milton Keynes, MK8 0AS

Facebook Instragram Twitter
4.8
Google-review

Ask us a question