ClickCease

Abacus Dental Care, 52 Lennon Drive, Milton Keynes, MK8 0AS

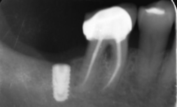
Case 2

For more information regarding this treatment

01908 260 757 Or Contact Us

Get in touch

judger icon1
Abacus Dental - Logo

52 Lennon Drive, Milton Keynes, MK8 0AS

Facebook Instragram Twitter
4.8
Google-review

Ask us a question